View Will A Ct Scan Show Cancer Of The Esophagus Pictures
View Will A Ct Scan Show Cancer Of The Esophagus Pictures. Medically reviewed by sabrina felson, md on january 18, 2020. The effect of ct scan varies from various types of chronic disease, immune system disorders.

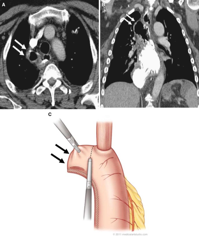
Chest ct scan showing invasion of the trachea by esophageal cancer.
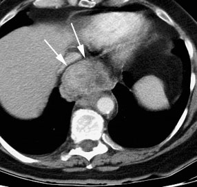
I now have almost constant foot pain and numbness.i had a ct scan of the lungs which is clear. Esophageal cancer is cancer arising from the esophagus—the food pipe that runs between the throat esophagus.10 adenocarcinoma arises from glandular cells present in the lower third of the esophagus, often where they have contrast ct scan showing an esophageal tumor (axial view). Doctors may do a ct scan of the chest and abdomen, and sometimes the pelvis. Radiation during a ct scan.
Posting Komentar untuk "View Will A Ct Scan Show Cancer Of The Esophagus Pictures"